
This story began 7 years ago, when, near the end of my pregnancy with Ella, I started having severe pain in my right hip. My doctor assumed it was part of normal third trimester aches and pains and sent me to prenatal yoga at a physical therapy (PT) office that worked with a lot of pregnant women. Two months after birth, the pain did not go away, and I was hobbling, unable to lift my knee even halfway to my waist.
An x-ray and MRI later, I was in a doctor’s office hearing this: “You have hip dysplasia. You’ve had it your whole life and likely your pregnancy brought on the pain. It will not get better. There’s nothing you can do but replace it, but you’re too young to do that yet. Go walk in a pool and come back when you can’t sleep. Oh, and if it’s in one hip, it’s probably in the other.” I was devastated.
Over the past 7 years I’ve dealt with the hip pain with physical therapy on/off, deep tissue massages, Salonpas patches, heating pads, a stationary bike, and Aqua Tabata β even walking in a pool for a while (very boring). Ironically, though low-impact, walking outside a pool is not great for hip dysplasia, and the doctor told me to go for a walk “only to spend time with my family”. Nice. While nothing really worked, in hindsight I’m certain these past 10 days would have gone very differently if I hadn’t just kept moving and handled the pain it brought with it. But before we get to that…
In February 2020, I decided to get a second opinion and see if there were any NEW options for hip dysplasia. I was referred to a doctor who gave me three options: Cortisone Shot (probably covered by insurance, temporary, crap shoot on results), Platelet Rich Plasma (PRP) Injection (not covered by insurance, also temporary, but if it works, it’s great), and of course, Surgery, which I was trying to avoid. I chose the cortisone.
For 3.5 hours after the shot, I was a teenager. I kept showing off to Bart that I could “walk like a normal person”, and I had absolutely zero pain. Unfortunately, it wasn’t the cortisone that worked… The local anesthesia they used for the shot had taken the pain, and when that wore off, I was back to square one. Then in March 2020, the world shut down for a pandemic.
I walked every single day after that, less to spend time with my family than to maintain my sanity after so much time with them. The bike stopped helping, and even three short, 15-minute spin classes would leave me hobbling again. Massages, PT and water classes weren’t a safe option, but as soon as the world started seeming safer, I tried again. In June 2021, my primary doctor referred me to an orthopedic doctor who he assured me would let me know if there were any options before surgery β and since he wasn’t a surgeon, he’d be less likely to steer me that way.
That doctor said, “Look at this left hip. It’s a healthy hip (WOO HOO!). But the right one has no padding at all, severe arthritis, and cysts that have developed in the joint from friction. If it were my hip, I’d replace it.” I’d been holding off as long as possible, since old hip replacements were expected to last 10-15 years, and likely you only get two of them, ever. I feared I’d be a 70-year-old spending the rest of my life in a wheelchair… but things have changed! These days hips are more likely to last 20 years, and that’s just based on solutions that have been around long enough to measure. Honestly, it’s insane what they can do today.
I’ll aim to minimize the gore. If you’re super curious, here’s a video – it’s dated but educational, and covers the same procedure I had, on a hip in my situation. Actual surgery begins around 15 minutes into the video. You’re welcome. For background, doctors used to go in through the back (posterior approach), cutting through the gluteus maximus, the largest muscle in the human body, and many tendons, requiring a tough recovery. They now go through the front (anterior approach), cutting NO muscles or tendons and moving the muscles out of the way. By the way, I’m glad I didn’t find/watch that video before my procedure… but it’s fascinating! I can’t vouch for exactly what happened in my case, but I literally saw the crazy “Hana Table” just before I went under.
Anyway, back to the story. I met with my surgeon for a consultation on June 18. He scared the crap out of me. You see, though I’d known for 7 years that I’d need a hip replacement, I’d never researched what recovery would really look like. He started by saying this: “So you’ll be on a walker for 3-4 weeks after surgery.” I said, “Wait. I thought I’d be walking right away (all research says this).” He said, “You will, with a walker.” HA!
He continued, sharing these additional fun nuggets of information:
- I’d be using a cane, then articles around my home for support for another 2 weeks
- Since it was my right hip, no driving for 6 weeks
- No crossing my legs for 3-6 months
- No submersion in water (tub, pool, etc) for 6 weeks
- Antibiotics before any dental procedure for at least a year (apparently infection targets implants and is bad)
- No crazy yoga poses, maybe ever
Honestly, that’s all I can remember. He assured me I’d have questions after I left, and that the next step would be to book surgery, if I wanted to move forward. I let him know that I was shocked, and he said, “Yeah. It’s a commitment.” My scared brain thought, WAIT, I can do crazy yoga poses NOW – it just hurts like crazy to do it. I called my brave Aunt Susan, who had recently had not one but two hips replaced, and she was rocking her recovery. She confirmed his insights but said the procedure was 100% worth it. I felt better.
That said, the more people I talked to, the more stories I heard, all of which confirmed that the “first few weeks are just rough.” The biggest reasons I decided to move forward were that a) I have a husband who has been encouraging me to do this for a while, b) I may be “young” for a hip replacement, but I want to be active NOW to play with my children, c) my employer is supportive, and d) I have a kick-butt support group of amazing people around me. And so I booked total hip replacement surgery for August 9. Enter a Covid surge…
I spent the 2 weeks before the surgery date on pre-op doctor appointments, hospital and anesthesia intake calls and frantically trying to get my life in order through lists and Google docs, as usual. You see, on August 16, Zoe was starting Middle School, a major change, and Ella would start 1st grade, both onsite. For the first time ever, we’d have to get two girls to two different schools on time, with only one parent who could drive. But before that happened, we flew home to GA to see my family (so great!), and Zoe attended a Bridge Week for incoming 6th graders (also great!). The only hiccup for her was that she had been SO excited about the rainbow colored lockers at her new school, and she really wanted ANY color but yellow, and a top locker. You can imagine what’s coming.
On the final day of Bridge Week, she got her locker assignment: a Yellow Lower Locker. As she was working through that, it turned out that her combination didn’t work, and she was the only kid who couldn’t even get into her locker to install all the kooky Target locker items she HAD TO have:

You’ll notice in the pic, that she ended up with a top locker, orange. What a win! In the meantime, Covid numbers were rising, and so, on Thursday evening before my Monday morning surgery, I got a call from the doctor’s office saying that I “might” be postponed. And 20 minutes later, my surgery was off, with no new date in sight. I spent the following day undoing all the prep I’d done at work to be able to be out for surgery. Bummer. But I do believe that everything happens for a reason, and over the next week, I got SO MUCH done.
Most importantly, I got to focus on the girls and their feelings about school, and to tighten up all the lingering details that would make them feel awesome about going back. If you know me at all, I’m a planner and like to control as much as possible. Having no new date and having very tightly planned my return from work based on the first date, I was not easy to be around that week… until Wednesday.
I called the doctor’s office to follow up, not expecting much, but instead they asked me, “Are you watching us?” HA! They were literally in my file and were 90% sure that the surgeon had gotten an exception for me as a highly likely candidate for outpatient surgery, and they would call back later that day to confirm for Monday, August 16. JOY! Except, they didn’t. I left a message at 4:30 pm but assumed something had changed. Disappointed, I decided to Google my doctor, wondering how long he’d been at the hospital, hoping he’d have leverage to get an exception. As I was typing in his name, Google added “wedding dance”… No way that would have been my surgeon’s dance, right? Turns out, it was:
I laughed for the full 5-minute video. I mean, only in LA is it possible that your surgeon’s choreographed wedding dance with 8 groomsmen is on people.com. I also decided that hey, everything happens for a reason, and even if I wasn’t yet confirmed for surgery, I had absolutely selected the right surgeon.
The following morning I received a call from the anesthesia coordinator, who confirmed I was ON! I reignited all my “wrap up the loose ends” plans. Not only was I back on the schedule, I would go FIRST on Monday, with a 5:15 am arrival time for a 7:30 am surgery, which meant that if all went well, I’d be home by end of day.
On the tricky side, August 16 was the actual first day of school for the girls. My husband is a saint. We agreed I’d drive myself to the hospital and valet, so he could Uber over and grab the car. Though I’d already had to take 2 “surgical showers” (turn on water, get body wet, turn off water, put special pre-surgery soap everywhere neck down, avoiding privates, wait 5 minutes, rinse off, pat dry), I was handed antiseptic body wipes for another “shower” before putting on my lovely gown and grippy socks.

Next I got to see the doctor, who marked my leg (I find this smart but hilarious) and assured me he was ready (yes, I asked). I also asked him about that wedding dance video, specifically two things:
- Would they be playing Bootylicious during my surgery? (answer: laughter and a “maybe”)
- How long until I could be dancing like that?! (answer, without missing a beat: 3 months)
I met the head OR nurse who would be orchestrating the surgery and three anesthesiologists (my “team”) who admitted they liked to start a story or a joke as patients were going under, no end (my kind of people). They also explained that I would have a spinal shot (YIKES) and then go under (why not reverse that?). A relaxer medicine was administered through my IV, and I was wheeled into the OR for a 2-hour surgery.
There’s a lot of fuzzy time that followed waking up (woo hoo!), but my husband was there. He literally had to drive all over LA to drop off the girls at school, come to see me, pick up a friend from Long Beach, pick up the kids from school, come back to pick me up. I’m amazed. What’s also amazing is that fewer than 3 hours after surgery, I was up and WALKING (yes, with a walker). In fact, before I left the hospital I could:
- Get in/out of bed
- Use the bathroom
- Dress myself
- Get in/out of a chair
- Walk up/down 4 stairs
- Get in/out of a “car”

So I walked into the hospital at 5:15 am and left at 5:30 pm with a new hip. In fact, the doctor cleared me at 3:30 pm, at which time he let me know that I “have a lot of muscle in my legs”. I thought it was a compliment and would bode well for recovery (it will), but what he was trying to explain was how challenging it had been to move that muscle out of the way to get to my hip – ha! He said most people with the severity of arthritis I had in my hip also had atrophied muscles due to lack of movement and pain. Thank you pandemic walks and pre-hab PT for making me strong. Sorry, doc.
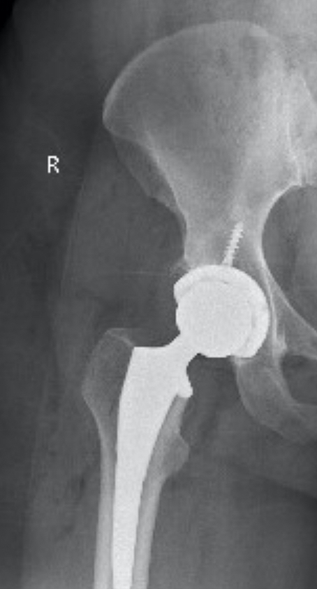
I’ve been recovering at home since August 16 (more on that later), but since this 7-year journey story is so long, I’ll pause here. I am grateful for my incredible family and friends, and for the 50-year-old imperfect hip that allowed me to have a wonderful life so far. And as for the new one, here she is. Hip, Hip Hooray!

Woo hoo! A year from now you’re going to describe this as a cake walk! ;)
HA! I hope you’re right :)
Damn right! You will be fine! ( one tuff B, lady ! Love uncle T)
Sent from my iPhone
>
RIGHT! I got this. :) Thanks, Uncle Terry! Love you!
How awesome is that??? More awesome for you I would say. Thank you so much for sharing π. I greatly appreciate it. The pandemic did a lot for people with pain and it kinda’ forced many of us to do something about it. π
Glad you have a support team.
Yay 2nd and 3rd opinions!
Thank you!